Frauenärztliche Praxis in Berlin Tel.-Nr. 030 4424092 
Die frauenärztliche Praxis liegt im Herzen Berlins, dem Prenzlauer Berg, in der Danziger Straße/ Ecke Dunckerstraße. Die Praxisräume befinden sich in der ersten Etage eines großzügigen Stuck-Altbaugebäudes. Im Wartezimmer ist eine schöne Spielecke für Kinder vorhanden.
Unsere Mitarbeiter sind gut geschult und geben Ihnen jederzeit freundlich die von Ihnen gewünschten Informationen.
Ärztlich betreut werden Sie von Frau Dr. Anja Fünfstück und Herrn Dr. Axel Krämer.
Wir bieten die komplette gynäkologische Grundversorgung an, die Krebsvorsorgeuntersuchungen, Nachsorge nach Krebserkrankungen, Schwangerenbetreuungen, Beratung und Betreuung im Rahmen der Familienplanung und Empfängnisverhütung sowie Diagnostik und Therapie bei Beschwerden beinhaltet.
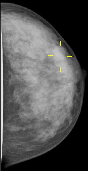
Einen speziellen Schwerpunkt unserer Praxis stellt die Mammadiagnostik dar. Wir bieten Ihnen die Möglichkeit einer umfangreichen Brustdiagnostik durch Mammographie und Mammasonographie.
- Schwangerschaftsbetreuung
- Mammadiagnostik
- Krebsvorsorge
In Berlin Prenzlauer Berg leben viele junge Menschen und Familien. Unsrere Praxistätigkeit ist daher umfangreich auf das Thema Familienplanung vorbereitet. Verantwortungsbewusst betreuen wir unsere schwangeren Patientinnen durch Schwangerschaft und Wochenbett. Von der Schwangerschaftsfeststellung, der Ultraschall- und CTG-Überwachung, bis hin zu Blutuntersuchungen und Beratung in sämtlichen medizinischen Fragen im Zusammenhang mit Schwangerschaft, Geburt und Wochenbett sind wir kompetent für Sie da.
Brustkrebs ist in Deutschland die häufigste Krebsart bei Frauen. Jede achte bis zehnte Frau erkrankt in ihrem Leben an Brustkrebs. Durch konsequente Früherkennung kleinerer, nicht tastbarer Tumore kann die Überlebensrate bei Brustkrebs deutlich gesteigert werden. Ab dem 30. Lebensjahr ist ein steter Anstieg von Brustkrebs zu verzeichnen.
Deshalb empfehlen wir den jährlichen Brustultraschall auf Wunsch als Vorsorge, den wir in unserer Praxis für Sie anbieten.
Bei fehlender familiärer Belastung mit Brustkrebs ist ab einem Alter von 40 Jahren eine regelmäßige Mammographie anzuraten. Gerne können Sie mit uns einen Termin für diese Untersuchung ausmachen.
Jede Frau kann ab dem 20. Lebensjahr jährlich eine Krebsvorsorgeuntersuchung in Anspruch nehmen. Ziel dieser Untersuchung ist das frühzeitige Erkennen bösartiger gynäkologischer Befunde, mit Schwerpunkt auf der Diagnostik des Gebärmutterhalskrebses. Durch eine ergänzende Ultraschalluntersuchung, die wir auf Ihren Wunsch durchführen, können auch Gebärmutterschleimhaut- und Eierstockkrebs rechtzeitig erkannt und therapiert werden.
Frauen bis 25 Jahre sollten das jährliche Screening auf Chlamydien als Sterlitätsvorsorge nutzen.
Impfungen gegen Gebärmutterhalskrebs bieten wir jungen Mädchen als sinnvolle Vorsorgemaßnahme an.
Sprechzeiten
Liebe Patientinnen,
wir sind für Sie gerne zu sprechen.
Sprechzeiten Herr Dr. Krämer
| Mo |
13.00 |
15.00 |
| Di |
13.00 |
18.00 |
Am Montag Nachmittag sowie am Mittwoch Vormittag finden zusätzlich Mammographien für Sie nach Vereinbarung statt.
Sprechzeiten Frau Dr. Fünfstück
| Mo |
08.00 |
12.00 |
| Mi. |
08.00 |
12.00 |
| Do. |
09.00
13.00 |
12.00
18.00 |
|
| Fr. |
07.30 |
13.00 |
Unsere Leistungen
Krebsvorsorgeuntersuchungen
Vaginalsonographie
Schwangerschafts- und Wochenbettsbetreuung
Diagnostik und Therapie bei Beschwerden
Beratung im Rahmen der Empfängnisverhütung
Einlage von Spiralen
Beratung bei Fragen der Familienplanung
Teenagersprechstunde
Nachsorge nach Krebserkrankungen
Besondere Leistungen
Mammographie
Mammasonographie